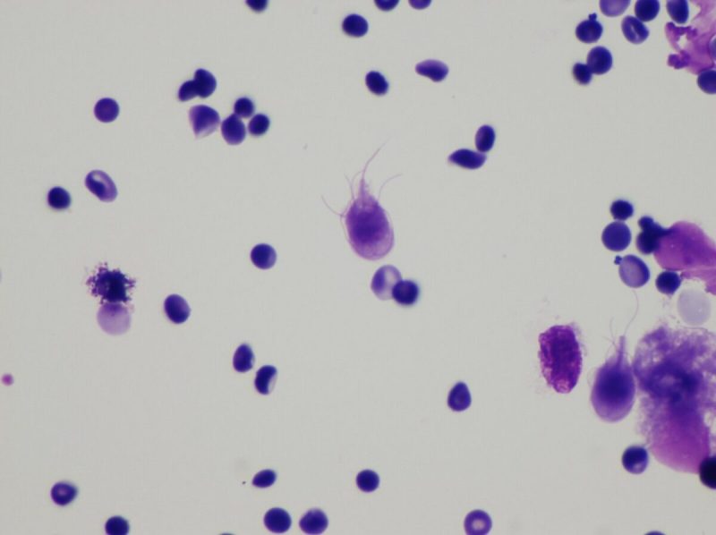
Health officials are warning Granite Staters to steer clear of a popular roadside spring in Bethlehem after five people got sick with Giardia in late August. At least four of the cases have been linked to water from the natural spring on Old Franconia Road, which flows through a white pipe into a collection bowl by the road.
The New Hampshire Department of Health and Human Services says anyone who recently drank from the spring should watch for symptoms like diarrhea, nausea, or stomach cramps and contact their doctor if they start feeling sick. Officials recommend tossing any water collected from the site—or boiling it for at least one minute before using it for drinking, cooking, or brushing your teeth. Pets can get sick too, so keep them away from it.
“Water from these natural sources might look clean, but it could still be unsafe,” said State Epidemiologist Dr. Benjamin Chan in a press release.
The property owner has shut off water at the Bethlehem site. Giardia infections can last for weeks and tend to hit children and people with weakened immune systems the hardest.



















